NUEVA YORK, noviembre 12.- El número de personas diagnosticadas con tuberculosis en todo el mundo aumentó nuevamente el año pasado, superando el récord total de 2023, anunció el miércoles la Organización Mundial de la Salud.
Aproximadamente 8,3 millones de personas en todo el mundo fueron diagnosticadas con tuberculosis en 2024, según el informe. No todas las infecciones son diagnosticadas y las nuevas cifras representan el 78% del número estimado de personas que realmente enfermaron el año pasado, señaló la OMS.
La organización ve el aumento como una indicación de que la detección y el tratamiento están mejorando después de las interrupciones en la atención médica durante la pandemia de COVID-19. A nivel mundial, el número de muertes causadas por la tuberculosis se redujo en 2024 a 1,23 millones, bajando de 1,25 millones el año anterior.
Los casos de tuberculosis en Estados Unidos continuaron aumentando el año pasado, alcanzando el nivel más alto en más de una docena de años, según datos preliminares publicados a principios de este año. La gran mayoría de los casos de TB en Estados Unidos se diagnostican en personas nacidas en otros países.
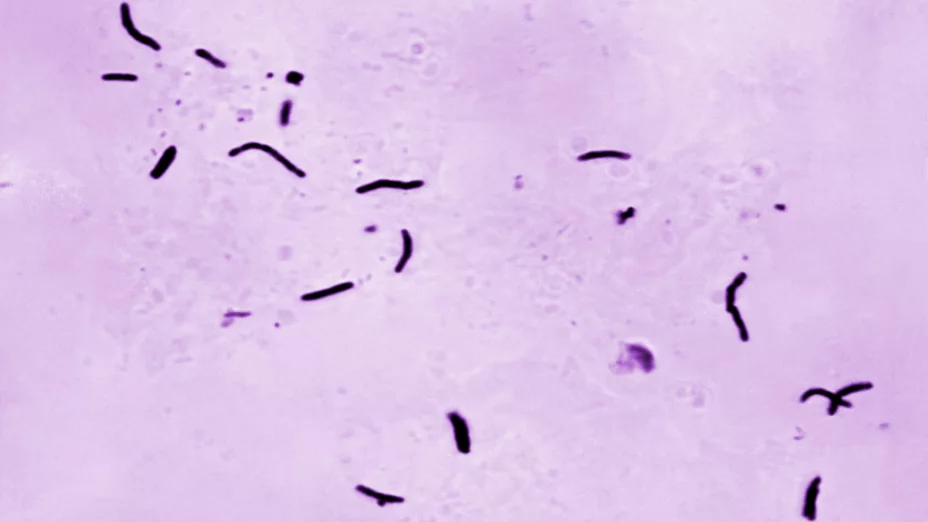
La tuberculosis es causada por bacterias que atacan los pulmones y se propagan por el aire cuando una persona infectada tose o estornuda. Se estima que aproximadamente una cuarta parte de la población mundial tiene tuberculosis, pero solo una fracción desarrolla síntomas.
Puede ser fatal si no se trata y es una de las principales causas de muerte en todo el mundo.
La OMS publica un informe sobre la TB cada año. El más reciente se basa en datos de 184 países. La financiación para combatir la enfermedad ya se estaba estancando, y los expertos están preocupados por un posible retroceso en la lucha tras los recientes recortes de gastos por parte del gobierno de Estados Unidos y otros financiadores.

